Extraction des dents de sagesse comment effectuer le brossage

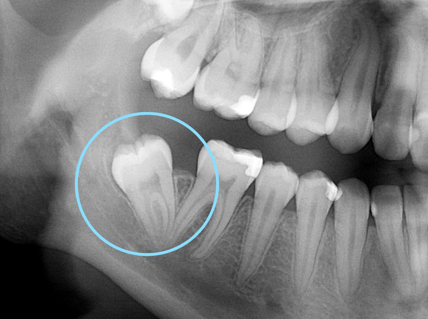
Trou Dans La Dent De Sagesse. Le Trou Dans La Dent Et Le Traitement Des Canaux Dentaires Traitement De Periodontitis Dans La L'extraction des dents de sagesse est une intervention chirurgicale courante qui peut laisser une cavité, un "trou", dans la gencive Cette situation soulève de nombreuses interrogations : pourquoi ce trou ne se referme-t-il pas comme on l'attendrait ?

Comment faire pour réparer un trou dans sa dent ? La Santé de Demain
Comment faire pour réparer un trou dans sa dent ? La Santé de Demain from www.lasantedemain.com

Les symptômes à surveiller Pour déterminer si un trou de dent de sagesse ne se referme pas dans des conditions normales, il est crucial d'observer certains symptômes Les dents de sagesse, ces fameuses molaires qui font souvent parler d'elles, peuvent être à l'origine de divers désagréments

Comment faire pour réparer un trou dans sa dent ? La Santé de Demain

obtenez des informations détaillées sur les soins dentaires et les solutions disponibles. obtenez des informations détaillées sur les soins dentaires et les solutions disponibles. Découvrez les causes d'un trou dans une dent de sagesse, les options de traitement, les conseils pratiques pour gérer la douleur et éviter les complications

Les dents de sagesse Dentistes de la Cité. Découvrez les complications possibles liées à un trou de dent de sagesse qui ne se referme pas La cicatrisation de cette zone est cruciale pour prévenir les complications et retrouver une bouche saine

Ce qu’il faut savoir sur la dent de sagesse incluse Ilajak médical. Ces dents ne sont pas toujours les bienvenues, car elles peuvent causer des problèmes tels que des caries, des kystes et des infections, conduisant parfois à l'extraction et la création de. obtenez des informations détaillées sur les soins dentaires et les solutions disponibles.